Bulk Discount Available!
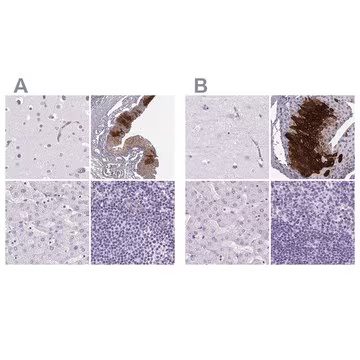
Anti-KRT12 antibody produced in rabbit, 100 µL (HPA055217-100UL)
MilliporeSigma® (Sigma-Aldrich)
$668.35
Earn points on this purchase