Bulk Discount Available!
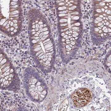
Anti-SLC14A1 antibody produced in rabbit, 1 X 100 µL (HPA059570-100UL)
MilliporeSigma® (Sigma-Aldrich)
$668.35
Earn points on this purchase