null
Need a cross reference? Switch & Save
Bulk Discount Available!
Athority Badge

Anti-ASCC3 antibody produced in rabbit, 1 X 100 µL (HPA031610-100UL)

SKU:
HPA031610-100UL
$640.21
Net 30 Terms Available

Earn points on this purchase

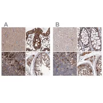
All Prestige Antibodies Powered by Atlas Antibodies are developed and validated by the Human Protein Atlas (HPA) project and as a result, are supported by the most extensive characterization in the industry. The Human Protein Atlas project can be subdivided into three efforts: Human Tissue Atlas, Cancer Atlas, and Human Cell Atlas. The ant…

Read More

*We accept purchase orders from private, public, educational, & government institutions
Current Stock:
product linePrestige Antibodies® Powered by Atlas Antibodies
shipped inwet ice
storage temp.−20°C
Quality Level100
technique(s)immunohistochemistry: 1:20- 1:50
conjugateunconjugated
antibody formaffinity isolated antibody
biological sourcerabbit
species reactivityhuman
immunogen sequenceQLNNMDEVCYENVLKQVKAGHQVMVFVHARNATVRTAMSLIERAKNCGHIPFFFPTQGHDYVLAEKQVQRSRNKQVRELFPDGFSIHHAG,seq:15,language:1,id:
UniProt accession no.Q8N3C0
clonepolyclonal
antibody product typeprimary antibodies
Gene Informationhuman ... ASCC3(10973)
formbuffered aqueous glycerol solution
target post-translational modificationunmodified
enhanced validationindependentLearn more about Antibody Enhanced Validation
Trusted quality

High quality molecular biology products trusted by researchers across the world. Browse our selection online or call us today.

Fast shipping

We offer same day shipping on common supplies and equipment to keep your research moving forward.

Newsletter

Sign up for the best experience and exclusive offers.