null
Need a cross reference? Switch & Save
Bulk Discount Available!
Athority Badge

Anti-CHD1L antibody produced in rabbit, 1 X 100 µL (HPA028670-100UL)

SKU:
HPA028670-100UL
$597.18
Net 30 Terms Available

Earn points on this purchase

All Prestige Antibodies Powered by Atlas Antibodies are developed and validated by the Human Protein Atlas (HPA) project and as a result, are supported by the most extensive characterization in the industry. The Human Protein Atlas project can be subdivided into three efforts: Human Tissue Atlas, Cancer Atlas, and Human Cell Atlas. The ant…

Read More

*We accept purchase orders from private, public, educational, & government institutions
Current Stock:
clonepolyclonal
antibody product typeprimary antibodies
storage temp.−20°C
formbuffered aqueous glycerol solution
antibody formaffinity isolated antibody
species reactivityhuman
Gene Informationhuman ... CHD1L(9557)
target post-translational modificationunmodified
product linePrestige Antibodies® Powered by Atlas Antibodies
technique(s)immunofluorescence: 0.25-2 μg/mL
shipped inwet ice
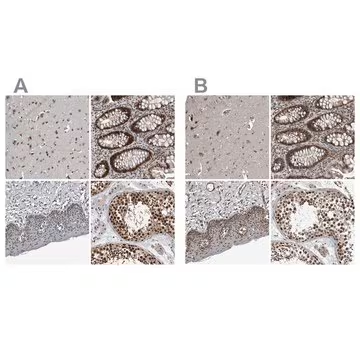
technique(s)immunohistochemistry: 1:500-1:1000
immunogen sequenceGSRDQEEGKNHMYLFEGKDYSKEPSKEDRKSFEQLVNLQKTLLEKASQEGRSLRNKGSVLIPGLVEGSTKRKRVLSPEELEDRQKKRQEAAAKRRRLIEEKKR,seq:16,language:1,id:
biological sourcerabbit
technique(s)immunoblotting: 0.04-0.4 μg/mL
Quality Level100
conjugateunconjugated
UniProt accession no.Q86WJ1
enhanced validationindependentLearn more about Antibody Enhanced Validation
Trusted quality

High quality molecular biology products trusted by researchers across the world. Browse our selection online or call us today.

Fast shipping

We offer same day shipping on common supplies and equipment to keep your research moving forward.

Newsletter

Sign up for the best experience and exclusive offers.