null
Need a cross reference? Switch & Save
Bulk Discount Available!
Athority Badge

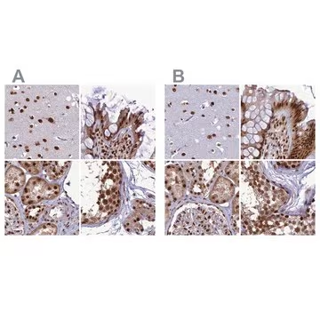
Anti-DDX1 antibody produced in rabbit, 1 X 100 µL (HPA034502-100UL)

SKU:
HPA034502-100UL
$640.21
Net 30 Terms Available

Earn points on this purchase

Anti-DDX1 antibody produced in rabbit, 1 X 100 µL (HPA034502-100UL)
*We accept purchase orders from private, public, educational, & government institutions
Current Stock:
Trusted quality

High quality molecular biology products trusted by researchers across the world. Browse our selection online or call us today.

Fast shipping

We offer same day shipping on common supplies and equipment to keep your research moving forward.

Newsletter

Sign up for the best experience and exclusive offers.