null
Need a cross reference? Switch & Save
Bulk Discount Available!
Athority Badge

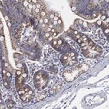
Anti-GCAT antibody produced in rabbit, 1 X 100 µL (HPA063924-100UL)

SKU:
HPA063924-100UL
$668.35
Net 30 Terms Available

Earn points on this purchase

All Prestige Antibodies Powered by Atlas Antibodies are developed and validated by the Human Protein Atlas (HPA) project and as a result, are supported by the most extensive characterization in the industry. The Human Protein Atlas project can be subdivided into three efforts: Human Tissue Atlas, Cancer Atlas, and Human Cell Atlas. The antib…

Read More

*We accept purchase orders from private, public, educational, & government institutions
Current Stock:
concentration0.1 mg/mL
storage temp.−20°C
technique(s)immunohistochemistry: 1:200 - 1:500
target post-translational modificationunmodified
species reactivityhuman
antibody formaffinity isolated antibody
Gene Informationhuman ... GCAT(23464)
formbuffered aqueous glycerol solution
clonepolyclonal
isotypeIgG
immunogen sequenceRGAGTWKSERVITSRQGPHIRVDGVSGGILNFCANNYLGLSSHPEVIQAGLQALEEFGAGLSSVRFICGTQ,seq:16,language:1,id:
Quality Level100
antibody product typeprimary antibodies
technique(s)immunofluorescence: 0.25-2 μg/mL (ICC-IF)
biological sourcerabbit
product linePrestige Antibodies® Powered by Atlas Antibodies
Ensembl | human accession no.ENSG00000100116
shipped inwet ice
conjugateunconjugated
Trusted quality

High quality molecular biology products trusted by researchers across the world. Browse our selection online or call us today.

Fast shipping

We offer same day shipping on common supplies and equipment to keep your research moving forward.

Newsletter

Sign up for the best experience and exclusive offers.