Bulk Discount Available!
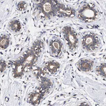
Anti-KRBA1 antibody produced in rabbit, 1 X 100 µL (HPA021237-100UL)
MilliporeSigma® (Sigma-Aldrich)
$633.18
Earn points on this purchase