null
Need a cross reference? Switch & Save
Bulk Discount Available!
Athority Badge

Anti-MAS1L antibody produced in rabbit, 1 X 100 µL (HPA017983-100UL)

SKU:
HPA017983-100UL
$633.18
Net 30 Terms Available

Earn points on this purchase

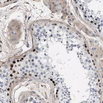
MAS1-like G protein-coupled receptor (MAS1L) is present in the sensory neurons of the dorsal root ganglion. All Prestige Antibodies Powered by Atlas Antibodies are developed and validated by the Human Protein Atlas (HPA) project and as a result, are supported by the most extensive characterization in the industry. The Human Protein Atlas pr…

Read More

*We accept purchase orders from private, public, educational, & government institutions
Current Stock:
biological sourcerabbit
technique(s)immunohistochemistry: 1:500-1:1000
antibody formaffinity isolated antibody
shipped inwet ice
Quality Level100
target post-translational modificationunmodified
technique(s)immunofluorescence: 0.25-2 μg/mL
antibody product typeprimary antibodies
Gene Informationhuman ... MAS1L(116511)
UniProt accession no.P35410
product linePrestige Antibodies® Powered by Atlas Antibodies
formbuffered aqueous glycerol solution
species reactivityhuman
immunogen sequenceICWFSQRAGWTVFAESQISLSCSLCLHSGDQEAQNPNLVSQLCGVFLQNETNETIHMQMSMAVGQQALPLNIIA,seq:14,language:1,id:
clonepolyclonal
conjugateunconjugated
storage temp.−20°C
Trusted quality

High quality molecular biology products trusted by researchers across the world. Browse our selection online or call us today.

Fast shipping

We offer same day shipping on common supplies and equipment to keep your research moving forward.

Newsletter

Sign up for the best experience and exclusive offers.