null
Need a cross reference? Switch & Save
Bulk Discount Available!
Athority Badge

Anti-MTHFD1 antibody produced in rabbit, 1 X 100 µL (HPA001290-100UL)

SKU:
HPA001290-100UL
$597.18
Net 30 Terms Available

Earn points on this purchase

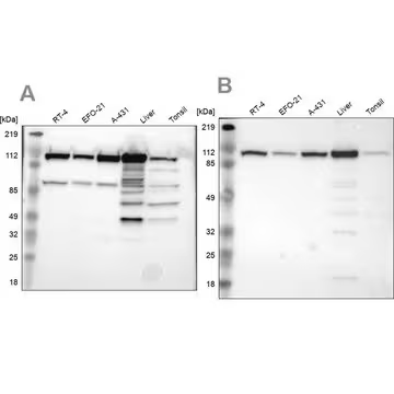
Anti-MTHFD1 antibody produced in rabbit was used in immunoprecipitation of host interactor proteins to validate its interactions with viral hepatitis C virus (HCV) proteins. Anti-MTHFD1 antibody produced in rabbit, a Prestige Antibody, is developed and validated by the Human Protein Atlas (HPA) project . Each antibody is tested by immunohistoc…

Read More

*We accept purchase orders from private, public, educational, & government institutions
Current Stock:
formbuffered aqueous glycerol solution
biological sourcerabbit
antibody product typeprimary antibodies
enhanced validationindependentLearn more about Antibody Enhanced Validation
UniProt accession no.P11586
storage temp.−20°C
product linePrestige Antibodies® Powered by Atlas Antibodies
species reactivityhuman
shipped inwet ice
clonepolyclonal
technique(s)immunohistochemistry: 1:1000-1:2500
target post-translational modificationunmodified
conjugateunconjugated
Quality Level100
technique(s)immunoblotting: 0.04-0.4 μg/mL
Gene Informationhuman ... MTHFD1(4522)
antibody formaffinity isolated antibody
Trusted quality

High quality molecular biology products trusted by researchers across the world. Browse our selection online or call us today.

Fast shipping

We offer same day shipping on common supplies and equipment to keep your research moving forward.

Newsletter

Sign up for the best experience and exclusive offers.