LEPREL1 (leprecan-like 1) gene is also called P3H2 (prolyl 3-hydroxylase 2) and encodes an enzyme that belongs to the prolyl 3-hydroxylase family. It is expressed in placenta, lung, heart, and kidney. The encoded protein has a molar mass of 80kDa with 708 amino acids and is expressed as a 3.4kb transcript. The protein contains a signal sequence…
Read More
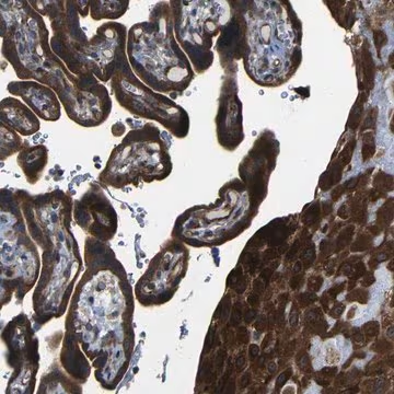
LEPREL1 (leprecan-like 1) gene is also called P3H2 (prolyl 3-hydroxylase 2) and encodes an enzyme that belongs to the prolyl 3-hydroxylase family. It is expressed in placenta, lung, heart, and kidney. The encoded protein has a molar mass of 80kDa with 708 amino acids and is expressed as a 3.4kb transcript. The protein contains a signal sequence, four tetratricopeptide repeats (TPRs), a leucine zipper, a P-loop, a prolyl 4-hydroxylase α domain (P4Hα), and a C-terminal KDEL ER-retention motif. It is localized to the ER and Golgi network. All Prestige Antibodies Powered by Atlas Antibodies are developed and validated by the Human Protein Atlas (HPA) project and as a result, are supported by the most extensive characterization in the industry.
The Human Protein Atlas project can be subdivided into three efforts: Human Tissue Atlas, Cancer Atlas, and Human Cell Atlas. The antibodies that have been generated in support of the Tissue and Cancer Atlas projects have been tested by immunohistochemistry against hundreds of normal and disease tissues and through the recent efforts of the Human Cell Atlas project, many have been characterized by immunofluorescence to map the human proteome not only at the tissue level but now at the subcellular level. These images and the collection of this vast data set can be viewed on the Human Protein Atlas (HPA) site by clicking on the Image Gallery link. We also provide Prestige Antibodies® protocols and other useful information. Solution in phosphate-buffered saline, pH 7.2, containing 40% glycerol and 0.02% sodium azide Unless otherwise stated in our catalog or other company documentation accompanying the product(s), our products are intended for research use only and are not to be used for any other purpose, which includes but is not limited to, unauthorized commercial uses, in vitro diagnostic uses, ex vivo or in vivo therapeutic uses or any type of consumption or application to humans or animals. prolyl 3-hydroxylase 2 LEPREL1 (leprecan-like 1) gene encodes prolyl 3-hydroxylase 2 (P3H2), which is a 2-oxoglutarate-dependent dioxygenase that hydroxylates collagens. It catalyzes the post-translational formation of 3-hydroxyproline in -Xaa-Pro-Gly-sequences in types II, IV and V collagens. It is involved in the post-translational modification of fibril-forming collagens. Mutation in this gene is associated with high-grade axial myopia. Prestige Antibodies® are highly characterized and extensively validated antibodies with the added benefit of all available characterization data for each target being accessible via the Human Protein Atlas portal linked just below the product name at the top of this page. The uniqueness and low cross-reactivity of the Prestige Antibodies® to other proteins are due to a thorough selection of antigen regions, affinity purification, and stringent selection. Prestige antigen controls are available for every corresponding Prestige Antibody and can be found in the linkage section.
Every Prestige Antibody is tested in the following ways:
•IHC tissue array of 44 normal human tissues and 20 of the most common cancer type tissues.
•Protein array of 364 human recombinant protein fragments.
Read Less