null
Need a cross reference? Switch & Save
Bulk Discount Available!
Athority Badge

Anti-TRMT61B antibody produced in rabbit, 1 X 100 µL (HPA026751-100UL)

SKU:
HPA026751-100UL
$633.18
Net 30 Terms Available

Earn points on this purchase

The tRNA methyltransferase 61B (TRMT61B) gene is mapped to human chromosome 2p23.2. TRMT61B protein encoded by this gene is primarily localized to mitochondria. The encoded protein forms a homotetrameric structure similar to bacterial methyltransferase (TrmI). Human Trmt61B is characterized with C-terminal Flag tag containing 334 amino acids. A…

Read More

*We accept purchase orders from private, public, educational, & government institutions
Current Stock:
formbuffered aqueous glycerol solution
technique(s)immunoblotting: 0.04-0.4 μg/mL
antibody formaffinity isolated antibody
product linePrestige Antibodies® Powered by Atlas Antibodies
immunogen sequenceGVCAVYVVNITQVIELLDGIRTCELALSCEKISEVIVRDWLVCLAKQKNGILAQKVESKINTDVQLDSQEKIGVKGELFQEDDHEESHSDFPYGSFPYVARPVHWQPGHTAFLVKLRKV,seq:16,language:1,id:
UniProt accession no.Q9BVS5
shipped inwet ice
conjugateunconjugated
storage temp.−20°C
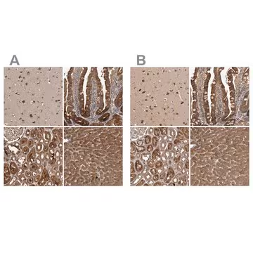
technique(s)immunohistochemistry: 1:50-1:200
biological sourcerabbit
clonepolyclonal
antibody product typeprimary antibodies
species reactivityhuman
enhanced validationindependentLearn more about Antibody Enhanced Validation
target post-translational modificationunmodified
Gene Informationhuman ... TRMT61B(55006)
Quality Level100
Trusted quality

High quality molecular biology products trusted by researchers across the world. Browse our selection online or call us today.

Fast shipping

We offer same day shipping on common supplies and equipment to keep your research moving forward.

Newsletter

Sign up for the best experience and exclusive offers.