Bulk Discount Available!
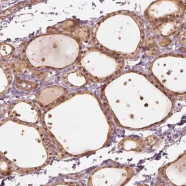
Anti-VEGFA antibody produced in rabbit, 100 µL (HPA069116-100UL)
MilliporeSigma® (Sigma-Aldrich)
$592.35
Earn points on this purchase